خدمات آرایشی و زیبایی در خواجه
نتیجهٔ دقیقی پیدا نشد
پیشنهاد میکنیم دسته و فیلترهای انتخابی خود را بازبینی کنید.
آگهیهای پیشنهادی در شهرهای اطراف

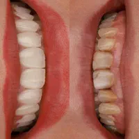
دندانپزشکی ایمپلنت کامپوزیت لمینیت روکش دندان
تبریز

فیلرژل بوتاکس پی ارپی لاغر تزریق چربی مزولیزرهایفو
تبریز

دندان مصنوعی دست دندان پروتز متحرک دندانساز
تبریز

درمان قطعی ارتروز ، دیسک کمر ، دیسک گردن ، سیاتیک
تبریز

خدمات آموزش حرفه ای ناخن باپک ویژه آکواریومی روسی
تبریز

تزریقات سرم سوند پانسمان زخم بستر پای دیابتی
تبریز

ژل بوتاکس ساکشن غبغب پی ار پی هایفو لیزر لاغری
تبریز

بوتاکس فیلر پی آر پی مزوتراپی زگیل تناسلی
تبریز

هایفوتراپی صورت و غبغب و شکم
تبریز

زگیل تناسلی
تبریز

رفع تضمینی تعریق زیر بغل و کف دست
تبریز

لاغری موضعی و پیکرتراشی غیرجراحی (7تا15سانت سایز)
تبریز

خدمات و آموزش کاشت مژه، لیفت و لمینت مژه و ابرو
تبریز

خالبرداری فقط۵۰کوچک کردن بینی خط خنده اخم پیشانی
تبریز

مانکن ابریشم سازی،صافی دائم، کراتینه و آموزش
تبریز

دندان پزشکی، ترمیم، عصب کشی، روکش با اقساط بلندمدت
تبریز

فیبروز میکرو خط چشم تاتوبدن آموزش مدرک فنی حرفه ای
تبریز

دست دندان مصنوعی طرح لمینت زیبایی تا ۶ ماه اقساط
تبریز

کراتین و پروتیین بادستگاه های روز بدون قرنطینه
تبریز
