نشان دیوار

وب‌اپلیکیشن یا PWA دیوار سرویسی است که نصب آن، استفاده از دیوار را بدون نیاز به دانلود اپلیکیشن و به‌روز‌رسانی و تنها با کلیک روی آیکون آن فراهم می‌کند. در نسخهٔ وب‌اپلیکیشن نیازی به دانلود و به‌روزرسانی نیست و کاربران iOS و اندروید با دسترسی‌ به آیکون اپلیکیشن در کنار سایر اپ‌های موبایل خود می‌توانند از آن استفاده کنند.


۱. در نوار پایین روی دکمهٔ share بزنید.

۲. در منوی باز شده، گزینهٔ Add to home screen را انتخاب کنید.

۳. در قسمت بالا روی دکمهٔ Add بزنید.

نشان دیوار


بیشترین جستجوهای دیوار
خودروی سواریفروش آپارتماناجاره آپارتمانموبایلصندلی و نیمکتحیواناتوسایل شخصیخدماتاستخدامتلویزیون
چت و تماس پشتیبانی
  1. خدمات
  2. خدمات آرایشگری و زیبایی
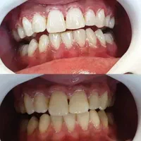
  3. بلیچینگ ،کامپوزیت،ایمپلنت ،ارتودنسی

بلیچینگ ،کامپوزیت،ایمپلنت ،ارتودنسی

۲ روز پیش در تهران، قیطریه
    تخصص‌ها

    سایر آرایشی و زیبایی


    ساعت کاری

    از ساعت ۸ تا ۲۲ «به‌جز روزهای تعطیل»


    توضیحات

    "لبخندی درخشان، هدیه‌ای ماندگار در کلینیک دندانپزشکی ما، با استفاده از تازه ترین تکنولوژی‌ها و بهترین برندهای دنیا زیبایی و سلامت دندان‌های شما را تضمین می‌کنیم. تیم متخصص ما با سال‌ها تجربه و مدرک بین‌المللی از کانادا، به شما کمک می‌کنند تا به لبخندی زیبا و طبیعی دست پیدا کنید. خدمات ما شامل: * کامپوزیت: با طیف گسترده‌ای از رنگ‌ها و طرح‌ها، لبخندی هالیوودی را برای شما خلق می‌کنیم. * بلیچینگ: با دستگاه‌های پیشرفته، دندان‌هایتان را چندین درجه روشن‌تر کنید. * ارتودنسی و ایمپلنت: با روش‌های نوین و بدون درد، به دندان‌هایی مرتب و محکم دست پیدا کنید. * و بسیاری خدمات دیگر... چرا ما را انتخاب کنید؟ * تخصص: دندانپزشکان ما در زمینه‌های مختلف دندانپزشکی، از جمله زیبایی، درمان‌های ریشه و جراحی، تخصص دارند. * شخصی‌سازی: ما به نیازهای منحصر به فرد هر بیمار توجه می‌کنیم و برنامه درمانی را متناسب با آن طراحی می‌کنیم. * محیط آرام: در محیطی آرام و دلنشین، تحت درمان قرار بگیرید. اکنون وقت آن است که به لبخند خود اهمیت دهید. با ما تماس بگیرید تا مشاوره رایگان دریافت کنید."

    تصویر 1 از 6
    بلیچینگ ،کامپوزیت،ایمپلنت ،ارتودنسی|خدمات آرایشگری و زیبایی|تهران, قیطریه|دیوار
    بلیچینگ ،کامپوزیت،ایمپلنت ،ارتودنسی|خدمات آرایشگری و زیبایی|تهران, قیطریه|دیوار
    بلیچینگ ،کامپوزیت،ایمپلنت ،ارتودنسی|خدمات آرایشگری و زیبایی|تهران, قیطریه|دیوار
    بلیچینگ ،کامپوزیت،ایمپلنت ،ارتودنسی|خدمات آرایشگری و زیبایی|تهران, قیطریه|دیوار
    بلیچینگ ،کامپوزیت،ایمپلنت ،ارتودنسی|خدمات آرایشگری و زیبایی|تهران, قیطریه|دیوار
    بلیچینگ ،کامپوزیت،ایمپلنت ،ارتودنسی|خدمات آرایشگری و زیبایی|تهران, قیطریه|دیوار
    بلیچینگ ،کامپوزیت،ایمپلنت ،ارتودنسی|خدمات آرایشگری و زیبایی|تهران, قیطریه|دیوار
    بلیچینگ ،کامپوزیت،ایمپلنت ،ارتودنسی|خدمات آرایشگری و زیبایی|تهران, قیطریه|دیوار

    یادداشت تنها برای شما قابل دیدن است و پس از حذف آگهی، پاک خواهد شد.

    موقعیت مکانی

    گزارش آگهی


    دربارهٔ دیوار
    دریافت برنامه
    اتاق خبر
    دیوار حرفه‌ای

    گزارش آسیب‌پذیری
    دیواری شو
    پشتیبانی و قوانین